¿Qué es la endodoncia?
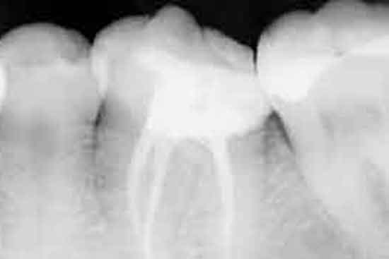
Los dientes poseen en su interior una cámara donde se encuentra la pulpa, el nervio, éste discurre por las raíces hasta llegar al hueso. Puede verse afectado por múltiples factores como son caries, lesiones periodontales, fracturas, etc, que producirán inflamación pulpar, cuando esta es irreversible, el nervio se necrosa causando problemas como dolor, flemón, y muchas veces dan como resultado infección. Para que esta infección no tenga lugar, o incluso para tratarla una vez haya aparecido, el tratamiento indicado es una endodoncia.
La endodoncia consiste en la remoción del tejido pulpar del interior de la cámara y los conductos de las raíces dentales. Para ello utilizamos una serie de limas, mediante un sistema rotatorio, de diferentes diámetros ensanchando los conductos y otorgándoles cierta conicidad para, posteriormente, rellenarlos y que queden sellados no permitiendo el paso de bacterias desde la boca al hueso y los tejidos que lo rodean.
La endodoncia consiste en la remoción del tejido pulpar del interior de la cámara y los conductos de las raíces dentales. Para ello utilizamos una serie de limas, mediante un sistema rotatorio, de diferentes diámetros ensanchando los conductos y otorgándoles cierta conicidad para, posteriormente, rellenarlos y que queden sellados no permitiendo el paso de bacterias desde la boca al hueso y los tejidos que lo rodean.



