Nuestra Filosofía

Hoy en día el mundo de la estética suscita el interés de gran parte de la población. Qué duda cabe que la boca es un factor importantísimo en cuanto a la relevancia estética se refiere.
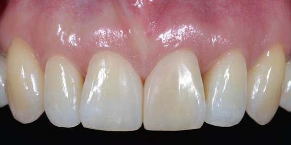
Nuestra filosofía es tratar de cumplir los sueños del paciente pero intentando ser conservadores, es decir, mantener siempre que se pueda, los dientes del paciente, dar función a la boca y tener en cuenta la estética, pero no perder la visión de que somos un conjunto.
La Naturalidad
Siempre va a depender de cada boca, lo que puede parecer bien en una persona puede no ser adecuado para otra. Para ello es necesario un estudio de cada paciente, de cómo se sonríe, cómo se habla, qué gestos hace.
Todo ello suma y es decisivo para dar con la estética individual de cada uno.



